Seks kazası doktorları şok etti: Penisine taktığı diş fırçası kırıldı

04-03-2024
Etiketler Uluslararası Cerrahi Vaka Raporları Endonezya Soetomo Genel Akademik Hastanesi
A+ A-

Haber Merkezi – Endonezya’da tuhaf seks kazası yaşayan adam dayanılmaz acıya rağmen doktora gitmek yerine yarım gün bekledi.

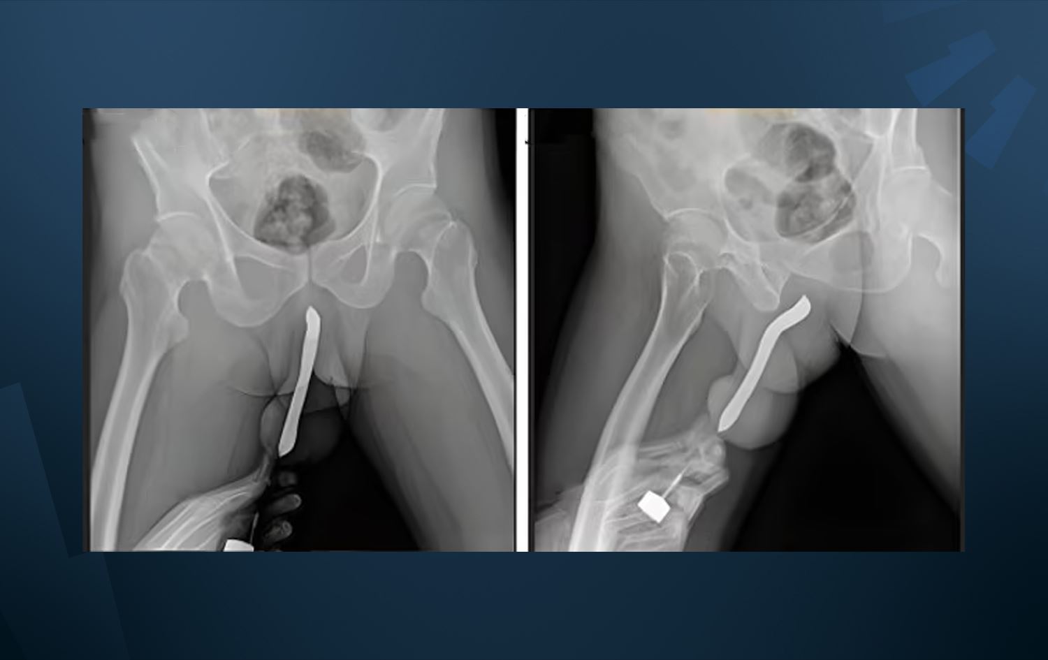
Endonezya'da 43 yaşındaki bir adam, “cinsel tatmini” artırmak için penisine diş fırçası soktu. Ancak önce fırça sonra penisi kırıldı.

Daily Mail'in haberine göre, Doğu Java'daki Soetomo Genel Akademik Hastanesi'ne giden şahıs ameliyata alındı.

Ancak doktorlar şahsın olaydan hemen sonra tıbbi yardım almak yerine 12 saat acı içinde beklediğini söyledi.

Gazeteye göre adam, doktorlara diş fırçasını "cinsel tatmin" için kullandığını ve bunu yıllardır yaptığını itiraf etti.

Söz konusu şahıs 2017 yılında fırçanın yerleştirilmesini kolaylaştırmak için penisine küçük bir kesi bile yaptırdığını belirtti.

Soetomo Genel Akademik Hastanesi doktorları, bu tuhaf kazanın ayrıntılarını "Uluslararası Cerrahi Vaka Raporları" adlı uzman dergiye anlattı.

Doktorlara göre fırça, muhtemelen Endonezyalının partneriyle mutfak masasında seks yaparken kırıldı.

Ameliyata alınan şahıs iki saatlik başarılı bir operasyon geçirdi ve üç gün de hastanede yattı.

Yorumlar

Misafir olarak yorum yazın ya da daha etkili bir deneyim için oturum açın

Yorum yazın

Gerekli
Gerekli