Çin'in Wuhan kentinde ilk ortaya çıkan ve 110 ülkeye yayınan koronavirüs (Covid-19) hızla yayılmaya devam ediyor
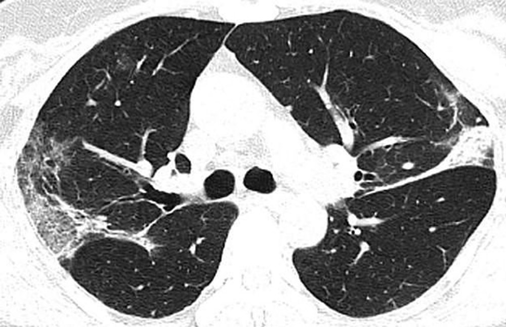
Haber Merkezi - Çin'in Hubey eyaletine bağlı Wuhan’daki salgının kaynağı olduğu düşünülen hayvan pazarında çalışan 44 yaşındaki bir Çinlinin röntgen filmleri yeni tip koronavirüsün akciğerlere verdiği zararı açıkça gösterdi.
Kuzey Amerika Radyoloji Derneği (RSNA), yeni tip koronavirüsün (Covid-19) ortaya çıktığı Çin’in Wuhan kentindeki salgının kaynağı olduğu düşünülen deniz ürünleri pazarında çalışan ve 44 yaşında virüs nedeniyle hayatını kaybeden bir adamın röntgen filmlerini kamuoyuyla paylaştı.

Filmlerde koronavirüsün akciğerleri nasıl tahrip ettiği net bir şekilde görülüyor.
X-ray ışını taramalarında virüsün etkileği yerler beyaz olarak görülüyor. Uzmanlar, hastada virüsün akciğerlerdeki hava keseciklerini kısmen doldurduğunu ve akciğer nodüllerine sebep olduğunu belirtti.

Diğer taraftan aynı tip anormalliklerin SARS (Şiddetli Akut Solunum Sendromu) ve MERS (Ortadoğu Solunum Sendromu) vakalarında da görüldüğünü söylediler.

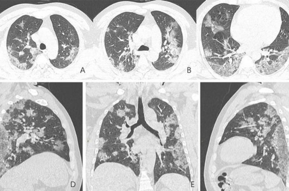
Ayrıca, A görüntüsüyle F görüntüsü karşılaştırıldığında, akciğer uzuvlarında bulunan sıvının, zaman içinde belirgin bir şekilde koronavirüs nedeniyle arttığı görülebiliyor.
Röntgenleri paylaşılan adamın yaklaşık iki hafta boyunca ateş ve öksürük belirtileri göstermesinin ardından 25 Aralık 2019'da hastaneye kaldırıldığı bir hafta sonra ise hayatını kaybettiği açıklandı.

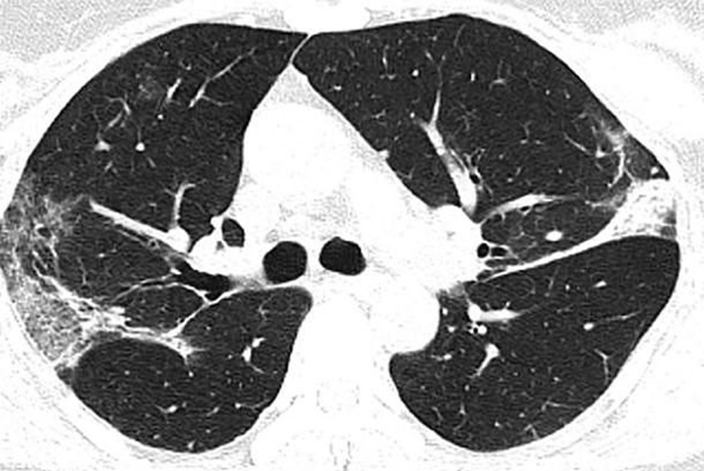
Wuhan'a seyahat ettikten sonra koronavirüse yakalanan 54 yaşında bir kadının bilgisayarlı tomografi taramaları da akciğerlerinde hava boşluklarının kısmen dolduğunu gösteriyor.
Solda yer alan fotoğrafta kırmızı olarak görülen alanlarda nodüller, sağ tarafta ise akciğer ve trakeanın üç boyutlu görüntüsü yer alıyor. Beyaz alanlarda koronavirüsün tahribi görülüyor.

Japonya'dan döndükten sonra koronavirüse yakalan Çin'in Sichuan eyaletinden 45 yaşındaki bir kadının taramalarında ise, virüsün akciğerinin sol üst lobunda ters hale edilmiş hale işareti oluşturdu.
Çin'in Wuhan kentinde ilk ortaya çıkan ve 110 ülkeye yayınan koronavirüs (Covid-19) hızla yayılmaya devam ediyor. Dünya Salgın Örgütü'nün pandemi ilan ettiği salgında vaka sayısı 125 bini geçti, 4 bin 637 kişi yaşamını yitirdi.
Yorumlar
Misafir olarak yorum yazın ya da daha etkili bir deneyim için oturum açın
Yorum yazın