خواردنی میوە و سەوزەکان مەترسی نەخۆشییەکانی سییەکان کەمدەکاتەوە

18-03-2017
هونەر رێبوار
نیشانەکردن میوە و سەوزە
A+ A-

رووداو- هەولێر 

توێژینەوەیەکی نوێی سوویدی لە پەیوەندی نێوان خواردنی میوە و سەوزەکان لەگەڵ نەخۆشییەکانی سییەکانی کۆڵیوەتەوە و دەریخستووە ئەوانەی بڕێكی زۆرتری میوە و سەوزەکان دەخۆن مەترسی تووشبوونیان بە گرفتی درێژخایەنی گیرانی بۆڕییە هەواییەکانی جگەرەکێشەکان کەمدەکاتەوە. 

ژمارەیەکی توێژەرانی سوویدی لە پەیوەندی خواردنی میوەکان و تەندروستی سییەکانی نزیکەی 44 هەزار سوویدییان کۆڵیوەتەوە و بۆیان دەرکەوتووە زیادکردنی هەر ژەمێک لە میوە و سەوزەکان بۆ خۆراکی رۆژانە، مەترسی نەخۆشییەکانی سییەکان بەرێژەی 4% لەوانەی پێشتر جگەرەکێش بوون و بەرێژەی 8% لەوانەی ئێستا جگەرەکێشن کەمدەکاتەوە. 

سەبارەت بە کاریگەری کام میوە و سەوزە باشترینە ئەوان دەڵێن، گەڵا سەوزەکان، بیبەر، سێوە و هەرمێ زۆرترین کاریگەرییان لەسەر تەندروستهێشتنەوەی سییەکان هەیە. 

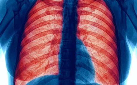
یەکێك لە گەورەترین گرفتەکانی تووشبوون بە گرفتی درێژخایەنی گیرانی بۆڕییە هەواییەکان جگەرەکێشانە و رێكخراوی تەندروستی جیهانیش پێشبینی دەکات تاکو ساڵی 2030 ئەم گرفتە ببێتەهۆکاری سێهەمی مردن لە جیهاندا. 

زۆرخواردنی میوە و سەوزەکان جگە لە کەمکردنەوەی نەخۆشییەکانی سییەکان، هەروەها مەترسیی تووشبوونیش بە نەخۆشییەکانی دڵ، بەرزەپەستانی خوێن و شێرپەنجەش کەمدەکاتەوە. 

کۆمێنتەکان

وەک میوان کۆمێنتێك بنووسە یان وەرە ژوورەوە و هه‌موو خزمەتگوزارییەکان به‌كاربێنه‌

کۆمێنتێک دابنێ

داواکراوە
داواکراوە